Novi milenijum je u oblast stomatološke protetike doneo revoluciju u smislu upotrebe tehnike kompjuterskog skeniranja, dizajniranja i izrade protetskih nadoknada CAD/CAM sistemom. Od tada se ova oblast kontinuirano usavršava, a spektar indikacija se proširio na gotovo kompletnu stomatološku protetiku uz mogućnost upotrebe različitih materijala.

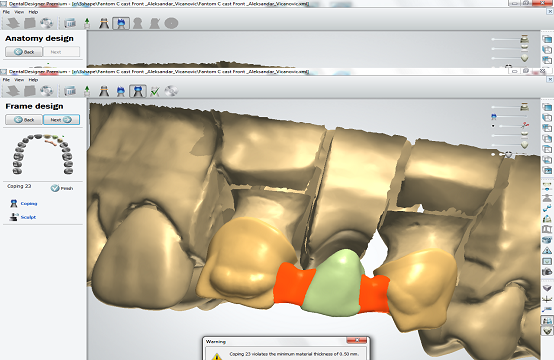
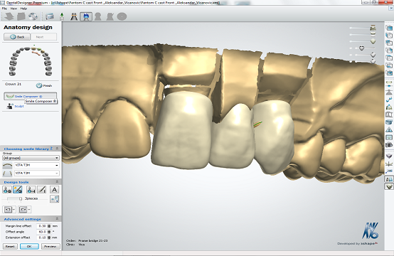
CAD/CAM sistem (kompjuterski podržan dizajn/kompjuterski podržana izrada) podrazumeva da se od blokova različitih materijala kroz specijalan kompjuterski proces skenira, dizajnira i izrađuje protetska nadoknada. Zahvaljujući ovoj tehnologiji postižu se vrhunski rezultati po pitanju kvaliteta izrade protetskih nadoknada, kako estetski tako i funkcionalno.

Zubotehnička laboratorija ”Cvetić” kombinuje dva CAD/CAM sistema da bi uspešno izradili najrazličitije protetske nadoknade u najkraćem vremenskom periodu.
