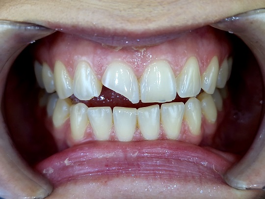
Bezmetalne krunice
Bezmetalne krunice
Bezmetalne krunice
All on 4
Bezmetalna keramika
Bezmetalna keramika
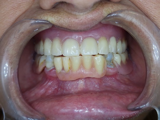
All on 4, Bezmetalna keramika
All on 4, Metal keramika
All on 4, Metal keramika
All on 4, Metal keramika
Bezmetalne krunice
Bezmetalne krunice
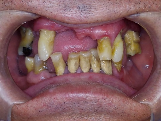
All on 6
Gingivektomija - Laser
All on 4, Bezmetalna keramika